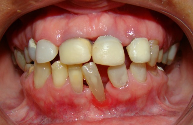
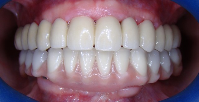
Neste caso a paciente apresentou a necessidade de remoção de todos os dentes naturais devido a perda óssea avançada (periodontite). Foi proposto e executado a reabiltação oral com implantes, sendo que na parte superior (maxila) foi desenvolvida uma prótese total fixa metelocerâmica (porcelana) e a parte inferior (mandíbula) foi reabilitada com prótese Fixa tipo Protocolo.
» Aulas disponíveis
Bom dia pessoal, as últimas aulas ministradas já estão disponíveis n...
» Caso 1 - Reabilitação Oral Complexa
Paciente apresentava algumas ausências dentárias, principalmente posteriores e perd...
» Caso 2 - Implante e Estética
Paciente sofreu fratura do elemento 11 (incisivo central) e foi reabilitada com implante e pr&oa...
» Caso 3 - Reabilitação com implantes carga imediata
Paciente apresentava alguns dentes inferiores e utilizada uma prótese parcial remov&iacut...
» Caso 4 - Implante unitário posterior
Paciente apresentava uma ausência do elemento 46 (primeiro molar inferior) e queixava-se d...
» Caso 5 - Reabilitação com implantes e dentes
Neste caso o paciente apresentava algumas ausências dentárias e algumas coroas meta...
» Caso 6 - Implantes dentários e Reabilitação estética
Paciente apresentou perda do elemento 11 (incisivo central) e o mesmo foi reabilitado com implan...
» Caso 7 - Implantes dentários e reabilitação complexa
Neste caso a paciente apresentou a necessidade de remoção de todos os dentes natur...
» Quando o paciente usa dentadura, pode realizar implantes?
Os pacientes que usam esse tipo de prótese apresentam uma mastigação muito ...
» A idade elevada impossibilita a realização de implantes?
A idade elevada não impossibilita a realização de implantes, muito pelo con...
facebook.com/itamarimplantes